Cite this as
Fakhreddine O, Chaabo O, Khoury M, Ghazzal Z (2023) Restoration of sinus rhythm in a late presentation of inferior STEMI complicated by complete heart block with percutaneous coronary intervention. J Cardiovasc Med Cardiol 10(2): 022-024. DOI: 10.17352/2455-2976.000195Copyright License
© 2023 Fakhreddine O, et al. This is an open-access article distributed under the terms of the Creative Commons Attribution License, which permits unrestricted use, distribution, and reproduction in any medium, provided the original author and source are credited.An 87-year-old female patient presented with a two-day history of the chest and epigastric pain associated with generalized fatigue. She was diagnosed with late presentation inferior ST-elevation myocardial infarction complicated by complete heart block. Given her late presentation, she was not taken to the catheterization laboratory immediately. She was admitted to the cardiac care unit. Transthoracic echocardiography showed an ejection fraction of 55% - 60% with wall motion abnormalities involving the posterior and inferior walls. A coronary angiogram the next day showed a total occlusion of the proximal segment of the RCA. Despite the uncertain benefit, taking into account the complete heart block, the artery was re-canalized with stent placement. She remained in complete heart block with stable hemodynamics. The heart team took the decision with the family to delay the insertion of a permanent pacemaker to maximize the chance of spontaneous recovery. Indeed, three days after coronary revascularization, her rhythm evolved into atrial fibrillation and two days later reverted to sinus rhythm with first-degree AV block and LAFB. She remained in normal sinus rhythm and first-degree AV block at her six months follow-up clinic visit.
Data regarding the role of percutaneous intervention in patients presenting with late inferior STEMI and complete heart block is lacking. Our case illustrates the possible therapeutic role of late intervention in restoring sinus rhythm and avoiding the insertion of a permanent pacemaker.
RCA: Right Coronary Artery; AV: Atrioventricular; LAFB: Left Anterior Fascicular Block; RBBB: Right Bundle Branch Block; TIMI: Thrombolysis in Myocardial Infarction; ECG: Electrocardiogram
This is a case of an 87-year-old female who presented to the emergency department with two days history of chest and epigastric pain associated with generalized fatigue. She denied any history of shortness of breath, palpitations, or syncope. She is known to have hypertension that is well controlled with Amlodipine 5 mg daily. No other past medical history or any other cardiovascular risk factors. Her physical examination was unremarkable. Electrocardiogram showed complete heart block and RBBB with persistent ST elevation in II, III, aVF, V5 and V6 and Q wave formation in the inferior leads as well as ST depression in V1 and V2 (Figure 1). Troponin T was 2.330 ng/mL (Normal level <0.030 ng/mL). Bedside echocardiography showed an ejection fraction of 55% - 60% with wall motion abnormalities involving the posterior and inferior walls. She was diagnosed with late presentation inferior STEMI and complete heart block.
She was clinically and hemodynamically stable with no symptoms. Given the protracted time between the onset of symptoms and her presentation to the emergency department, cardiac catheterization was deferred. She was monitored in the cardiac care unit and received dual anti-platelet therapy and therapeutic anticoagulation.
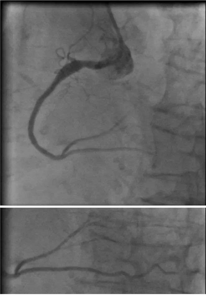
The next day a diagnostic coronary angiogram showed a right coronary artery that is large in caliber with proximal ectasia and thrombotic occlusion in the proximal segment (Figure 2).
Due to the presence of complete heart block, and even in the absence of supportive studies given her late presentation, we decided to revascularize the artery with the placement of a 3x30 drug-eluting stent and a good result and TIMI 3 flow in all branches (Figure 3).
Seventy-two hours following the procedure, the patient went from complete heart block to second-degree AV block Mobitz type I followed by atrial fibrillation. Two days later, her electrocardiogram showed evidence of sinus rhythm with first-degree AV block, right bundle block with a left anterior fascicular block with a PR interval of 240 milliseconds, and resolution of the previously mention ST elevations (Figure 4).
Six months later, she presented for follow-up, and an ECG showed persistence of sinus rhythm with first-degree AV block, LAFB and RBBB.
Conduction defects following an acute myocardial infarction are relatively frequent and are found to be associated with worse short and long-term prognoses [1]. Around 5% to 10% of patients presenting with an inferior wall myocardial infection develop the third-degree atrioventricular block, which may resolve within a few days [2].
A variety of mechanisms have been proposed to explain the occurrence of atrioventricular block in patients with acute inferior myocardial infarction including acute ischemia, increased vagal activity, and the accumulation of ischemic metabolites such as adenosine [3].
Reperfusion therapies in STEMI with either primary percutaneous coronary intervention or thrombolytic therapy are best administered within 12 hours of symptoms [4]. As for those with late presentations, the Occluded Artery Trial showed no significant difference in clinical endpoints when comparing the medically managed arm to the percutaneous revascularization arm [5].
According to the American College of Cardiology, American Heart Association, and Heart Rhythm Society Pacemaker Guidelines, second and third-degree atrioventricular block mostly resolves after the restoration of blood flow making the insertion of a permanent pacemaker less required [6]. This is expected for patients presenting with second or third-degree AV block within 12 hours after symptoms onset.
In 1968, a study conducted by Richard Sutton and his group showed that conduction defects following myocardial infarction including second and third-degree block could last up to 19 days from the onset of chest pain before the return of 1:1 AV conduction, with a mean duration of 4.3 days [7,8].
However, data regarding the effect of percutaneous coronary intervention in patients presenting with inferior MI and AV block beyond the early time frame is scarce.
In 2011, Michael Liang et al reported a case of a middle-aged female presenting with a 4-day history of shortness of breath and fatigue who was diagnosed with late presentation inferior STEMI and second-degree AV block that progressed into complete AV block 12 hours later but no hemodynamic derangements. Twenty-four hours after re-canalizing of the occluded RCA, there was a restoration of sinus rhythm with first-degree AV block.
The restoration of sinus rhythm in these two cases suggests that percutaneous coronary intervention in patients with late presentation STEMI complicated by complete AV block may help avoid permanent pacemaker insertion. But since the resolution of the heart block may have occurred spontaneously without intervention, the question can only be answered by a randomized trial.
We conclude that in the setting of a late presentation inferior STEMI associated with high-grade conduction defect, an invasive approach using percutaneous coronary intervention may be a valid strategy for management.

PTZ: We're glad you're here. Please click "create a new query" if you are a new visitor to our website and need further information from us.
If you are already a member of our network and need to keep track of any developments regarding a question you have already submitted, click "take me to my Query."