Cite this as
Maglione A, Ambrosio S, Campaniello C, Nello S, Papa R (2019) Acute coronary syndrome- A vulnerable patient with vulnerable plaques: A case report. J Cardiovasc Med Cardiol 6(2): 036-038. DOI: 10.17352/2455-2976.000088Acute coronary syndromes (ACS) are the most frequent cause of hospitalization in western countries and may be complicated by acute heart failure or sudden cardiac death. The underlying mechanism of ACS is plaque rupture, endothelial erosion, and/or intraplaque haemorrhage with partial or complete occlusion of an epicardial coronary artery. Vulnerable plaques are characterized by increased inflammatory infiltrates circulating inflammatory biomarkers of vulnerable plaques have been identified. They provide valuable diagnostic and prognostic information. However, they do not provide insight in the anatomic localization of vulnerable plaques. Intravascular ultrasound (IVUS) can provide detailed, high-quality tomographic images of coronary plaque and identify unstable plaque. We describe a case report of a vulnerable patient with two vulnerable plaques, with antero-inferior ST elevation acute coronary syndrome.
Plaque rupture or endothelial erosion, with subsequent thrombus formation, are the most frequent cause of acute coronary syndrome (ACS). Coronary plaque are constantly stressed by a variety of mechanical and hemodynamic forces that may cause or “trigger” disruption.
Plaques containing a soft atheromatous core are unstable and vulnerable and may rupture; plaque rupture occurs most frequently where the fibrous cap, separating the core from the lumen, is the thinner and the more heavily infiltrated by foam cells. In addition vulnerable plaques are characterized by increased inflammatory infiltrates (i.e. mainly monocytes/macrophages, some T-cells, and neutrophils) [1].
Relying on inflammation as a central pathogenic aspect of plaque vulnerability, circulating inflammatory biomarkers of vulnerable plaques have been identified. Secretion and remodeling of the extracellular matrix is very important in keeping plaque stability. However, few studies have addressed the relationship between CRP, matrix metalloproteinase and lesion morphology in coronary heart disease. They provide diagnostic and prognostic information. However, they do not provide insight in the anatomic localization of vulnerable plaques [2].
Instead coronary angiography may reveal advanced lesions, plaque disruption, luminal thrombosis and calcification, but other qualitative features of the underlying plaque cannot be assessed by this imaging technique. Visualization of the vessel wall and the plaque itself rather than the lumen is possible with intravascular ultrasound (IVUS), that reveal the characterization of coronary plaques.
A sporting 53-year-old-man, with arterial hypertension and dyslipdemia, was admitted to the emergency department with a 4 hour history of chest pain and dyspnoea. He was pale, sweaty and agitated; Killip II class. His blood pressure was 120/90 mmHg and heart rate was 90 beats/min, with a 95% oxygen saturation. Physical examination was unremarkable. The ECG showed a sinusal rythm, ST elevation from V1 to V6 and ST depression D II, DIII e AVF. Cardiac markers showed elevated CKMB (12 ng/ml; n.r. 24 ng/ml) and troponin T (0,011 ng/ml; n.r <0,03 ng/dl). His CRP value was 1.7 mg/dl ( n.r <0,05). The patient was admitted with the diagnosis of ACS ST elevation in anterior site. The patient was initially treated with clopidogrel, aspirin, low-molecolar-weight eparin, metoprolol and morphine. So the patient was asymptomatic for chest pain and dyspnoea, with a resolution of ST elevation, blood pressure 110/70 mmHg and heart rate 70 beats/min. Thirty minutes after the patient presented again chest pain , an ECG showed an ST elevation in DII, DIII e aVF and in V5-V6. Immediately Thrombolysis with tenecteplase was performed, furosemide and oxygen therapy was started, with an improvement of the symptoms and the ECG in one hour.
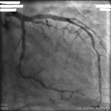
12 hours after admission, cardiac catheterization was performed and revealed a stenosis of 60% on proximal left anterior descending (LAD) (figure 1), a stenosis of 60 % on the circumflex coronary (CX)(figure 1) and a stenosis of 70 % on the right coronary artery (RCA) with a ulcerated plaque (figure 2). A IVUS chromaflow control showed rupture ulcerated atheromatous plaque on LAD (figure 3) and a fibrolipidic plaque with necrotic areas on CX (figure 4). Due to the clinical instability of the patient and of the presence of vulnerable plaques, the three lesions were treated by percutaneous coronary intervention, with the use of a Sirolimus eluting coronary stent, 3,5x23 mm, on LAD, a sirolimus eluting coronary stent, 2,7x18 mm, on CX (figure 5) and a sirolimus eluting coronary stent, 3x25 mm, on right artery coronary (figure 6). The results were excellent with a TIMI (thrombolysis in myocardial infarction) 3 score resultant flow. On discharge, the ECG showed negative T waves from V1 to V4. We recommended long term antiplatelet therapy, including aspirin and clopidogrel. 12 months later, follow up evaluation revealed that the patient was asymptomatic, the ECG was normal and ECG stress test didn’t show any markers of myocardial ischemia.
We describe a case report of a vulnerable patient with two vulnerable plaques. The onset of symptoms of the patient was due to an ulcerated rupture plaque, assessed by IVUS, on LAD with a ACS ST elevation in anterior site, and another ulcerated rupture plaque on RCA, that induced a following ST elevation in inferior site. Our therapy was fibrinolysis first and then coronary angioplasty. The patient also presented high inflammation markers, like CRP.
Rupture or superficial erosion of vulnerable coronary plaque are the major pathological events initiating acute myocardial infarction (AMI). There is a relationship between the plaque characteristics and clinical presentation: unstable plaque and ruptured plaque were more frequently found in AMI and unstable angina patients.
This vulnerability at the time of AMI is associated with evidence of systemic inflammation and may explain the high propensity for recurrent acute coronary events. Inflammatory response plays an important role in the onset, development, and evolution of atherosclerotic lesions.
Elevated levels of CRP have been widely considered to be nonspecific, but sensitive markers of the acute inflammatory response, and are also related to increased risk of coronary events in patients with stable and unstable angina. Many studies have shown that the CRP is an important risk factor for atherosclerosis and coronary heart disease [2].
In old patients structural and functional arterial properties commonly are demaged; both microcirculation and large vessels are involved . Also classic cardio-vascular risk factors (hypertension, diabetes mellitus, dyslipidemia, etc.) accelerate the physiological process leading to premature structural and functional alterations. Target organ damage evaluation could be clinically important since these alterations precede by many years’ cardiovascular events and so their assessment can predict the onset of more serious and costly events giving the opportunity to prevent CV events by earlier therapeutic intervention [3].
Intravascular ultrasound (IVUS) is an invasive, catheter-based imaging technique that provides two-dimensional cross-sectional images of the whole arterial wall. The high accurascy of IVUS to measure lumen, plaque, vessel area, and morphological features is established. Given its axial resolution ~ 100 µm using 40 MHz detectors, IVUS has the ability to localize plaques and quantify plaque burden. Moreover, IVUS is able to identify overall plaque burden and morphological characteristics of individual lesions in the entire coronary tree [4]. Plaque morphology can be described by ultrasound as echoreflective, corresponding to calcified plaque; hyperechoic, representing fibrous plaque; and hypoechoic, indicating a lipid-rich core [5]. Culprit lesions in patient with ACS are consistently associated with plaque echolucency, ulceration and positive arterial remodeling [6].
Pathological studies have reported that plaque disruption can occur without symptoms and is found in 5% to 10% of non cardiac death. Recently, IVUS studies have demonstrated that ruptured plaques don’t always cause ACS, showing a high incidence of rupture plaques (79%) in coronary segments remote from the culprit lesion of ACS patients. In addition a IVUS study showed that plaque rupture occur not only in ACS patients but also in patients with stable angina or asymptomatic ischemia. Thus, it is not clear why some plaque lead to clinical manifestations, whereas others remain asymptomatic [7].
Plaque vulnerability is the pathophysiological substrate of ACS. Prognosis can be improved if unstable plaque is identified and proper therapy can be given in advance. Though IVUS is an excellent tool to detect ruptured and unstable plaque, it is limited because of its invasive character. It is of potential significance to explore the blood inflammation indexes predicting plaque characteristics. No noninvasive examination can identify the instability and rupture of plaque, and so far, only few researches have focused on this particular field.

PTZ: We're glad you're here. Please click "create a new query" if you are a new visitor to our website and need further information from us.
If you are already a member of our network and need to keep track of any developments regarding a question you have already submitted, click "take me to my Query."