Cite this as
Brandner EM, Huber A, Laugwitz KL, Ibrahim T (2018) Combined Application of Percutaneous Extracorporeal Lung Assistance System Together with Catheter-Directed Therapy for the Rescue of Massive Pulmonary Embolism after Failed Systemic Thrombolysis. J Cardiovasc Med Cardiol 5(1): 001-002. DOI: 10.17352/2455-2976.000057A 56 year-old, formerly healthy man, who had undergone surgery of the shoulder joint earlier that same day, was presented at our department with a sudden onset of severe dyspnea and thoracic pain. Clinical findings were central cyanosis, a heart rate of 120 bpm, a blood pressure of 100/70 mmHg and a decreased peripheral oxygen saturation of 89%. Prompt computed tomography revealed a massive, bilateral pulmonary embolism (Figure 1a-c).
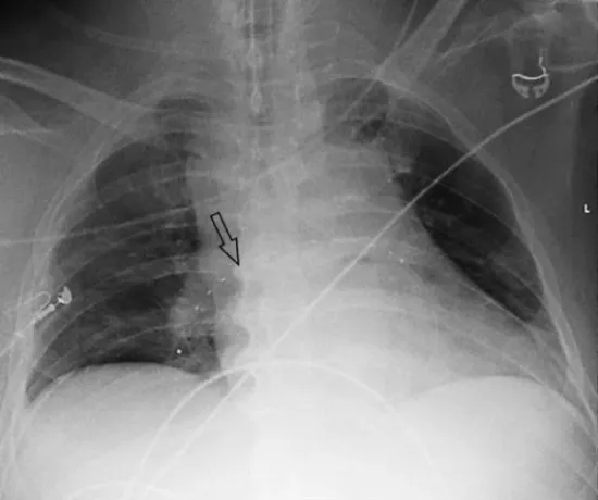
Due to increasing hypoxia and a sudden severe blood pressure drop the patient was resuscitated and intubated. Afterwards he needed high doses of catecholamines to sustain an adequate circulation. Systemic thrombolysis was done immediately. Although this improved the hemodynamic situation to a small extent, it also caused bleeding of the operated shoulder requiring blood transfusion. Neither the hemodynamic situation nor the right ventricular function assessed with echocardiography improved substantially. Therefore, pulmonary angiography was performed after 10 hours and displayed persistent thrombotic material in both pulmonary arteries (Figure 2a,b; Video 1).
To stabilize the patient, a portable arterio-venous extracorporeal lung assist (ECLS) device (iLA activve®, Novalung GmbH, Heilbronn, Germany) was implanted via a femoral access. Furthermore, an ultrasound-assisted catheter was positioned within the right pulmonary artery and thrombolysis was performed using low-dose rtPA (0.8 mg/h) (Figure 3, Video 1). No further bleeding occurred in the 4 days of thrombolysis and the patient recovered gradually.
Thus, he could be weaned from ECLS, which was removed after 6 days. He was extubated after 2 more days, was put on a novel anticoagulant and discharged 10 days later.
Pulmonary embolism with cardiogenic shock is associated with a very high ortality. The combined use of a percutaneous extracorporeal lung assist device together with local catheter-directed thrombolysis may be life-saving in high-risk pulmonary embolism after initially failed systemic thrombolysis or in patients with high bleeding risk [1-4].
With this technique, no thoracic surgery, but only angiography is required. Thus, a catheter-directed thrombolysis can be done also in centers without thoracic surgical service or if the patient –as was the case here– is highly unstable and surgery comes at a high risk [5]. The risks of the catheter-directed intervention are low-common side effects are rare and typically affect the vascular access site (e.g. haematoma) [5].
Why the thrombus was not resolved through systemic thrombolysis remain sunclear since the patient had no comorbidities or coagulation disorders.
Some trials and case reports have shown a better outcome of patients who received an inferior vena cava filter among those with massive pulmonary embolism [6].
In this patient, ultrasound didn´t display a deep vein thrombosis (DVT) as the source of the massive PE, but the ultrasound was done after systemic thrombolysis.
Therefore, no vena cava filter was implanted in this case. In patients with a confirmed DVT and massive PE, the implantation of a vena cava filter should be taken into consideration.

PTZ: We're glad you're here. Please click "create a new query" if you are a new visitor to our website and need further information from us.
If you are already a member of our network and need to keep track of any developments regarding a question you have already submitted, click "take me to my Query."