Author(s):
Mehmet Ugurlu Bahadir Sarli*, Ahmet Oguz Baktir and Fazilet Sag Erturk
Department of Cardiology, Kayseri Education and Research Hospital, Kayseri, Turkey
Received: 01 August, 2015; Accepted: 11 September, 2015; Published: 14 September, 2015
Assoc. Prof. Bahadir Sarli, MD, Kayseri Education and Research Hospital, Department of Cardiology, 3810, Kayseri, Turkey, Tel: +90 535 3040445; Fax: +90 352 3207313; E-mail:
Ugurlu M, Sarli B, Baktir AO, Erturk FS (2015) Double Valve Infective Endocarditis Presenting with Acute Ischemic Stroke J Cardiovasc Med Cardiol 2(2): 018-019. DOI: 10.17352/2455-2976.000016
© 2015 Ugurlu M, et al. This is an open-access article distributed under the terms of the Creative Commons Attribution License, which permits unrestricted use, distribution, and reproduction in any medium, provided the original author and source are credited.
Infective endocarditis is a potentially fatal infectious disease which usually presents with various clinic scenarios. Although the disease generally presents itself with fever, cardiac murmur (bruit), splenomegaly and anemia; in this case we report a double valve endocarditis of a 23 years-old female patient who was admitted to our neurology clinic with acute ischemic stroke.
Introduction
Infective endocarditis (IE); is an infectious disease which generally develops due to the involvement of cardiac valves, congenital cardiovascular lesions, prosthetic valves and other prosthetic materials by specific microorganisms during transient bacteremia. Despite developments in diagnosis and treatment, high mortality rates make it an important element of our current agenda. Embolic events are common and one of the life-threatening complications of IE; which may result in difficulty in diagnosis as they can imitate other pathological conditions [1,2]. In this report, we present a patient with double valve IE whose first diagnosis was ischemic stroke due to embolic complications of IE.
Case Report
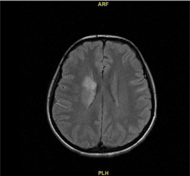
23 years old female patient with acute thematic fever history in her childhood was referred to our neurology clinic with complaints of numbness and loss of strength in left arm and left leg which were observed 2 weeks after tooth extraction. Her fever was 38,2°C there was the loss of strength in left arm and left leg with a newly developing heart murmur. Complete blood count showed that leukocyte count was 24500 103µL. Consequently, the patient was admitted to neurology clinic and forwarded to diffusion MRI. The diffusion MRI showed a newly developing stroke in the right parietal region (Figure 1). A cardiology consultation has been requested due to cardiac bruit and fever. Transthoracic echocardiography revealed rheumatic mitral valve disease causing mild mitral stenosis and vegetation's with 18x10 mm size on the atrial surface of the mitral valve and 10x5 mm on the ventricular surface of the aortic valve (Figure 2). Consecutive two blood cultures drawn more than 12 hours apart were positive for streptococcus pneumonia; therefore the patient has been diagnosed with endocarditis with double valve involvement. Transthoracic echocardiography and blood cultures were taken together and the patient was diagnosed as infective endocarditis according to Dukes diagnostic criteria. The treatment was started with gentamicin and penicillin and continues for 6 weeks. No fever has been observed after the 2nd day of treatment. TTE performed at the 5th day of antimicrobial treatment showed that size of the vegetation on the mitral valve was reduced to 12x6 mm while the vegetation on the aortic valve was reduced to 7x4 mm.
- Acar J, Michel PL, Varenne O, Michaud P, Rafik T (1995) Surgical treatment of infective endocarditis. Eur Heart J 16: 94-98.
- Saleh A, Dawkins K, Monro J (2004) Surgical treatment of infective endocarditis. Acta Cardiol 59: 658-662.
- Hogevik H, OHogevik H, Olaison L, Andersson R, Lindberg J, et al. (1995) Epidemiologic aspects of infective endocarditis in an urban population: A 5- year prospective study. Medicine (Baltimore) 74: 324- 339.
- (1998) ACC/AHA guidelines for the management of patients with valvular heart disease. A report of the American College of Cardiology/American Heart Association. Task Force on Practice Guidelines (Committee on Management of Patients with Valvular Heart Disease). J Am Coll Cardiol 32: 1486-1588.
- Horstkotte D, Follath F, Gutschik E, Lengyel M, Oto A, et al. (2004) Guidelines on prevention, diagnosis and treatment of infective endocarditis executive summary; the task force on infective endocarditis of the European society of cardiology. Eur Heart J 25: 267 –276 .
- Gould FK, Elliott TS, Foweraker J, Fulford M, Perry JD, et al. (2006) Guidelines for the prevention of endocarditis: report of the Working Party of the British Society for Antimicrobial Chemotherapy. J Antimicrob Chemother 57: 1035-1042.
- Habib G, Hoen B, Tornos P, Thuny F, Prendergast B, et al. (2009) Guidelines on the prevention, diagnosis, and treatment of infective endocarditis (new version 2009): the Task Force on the Prevention, Diagnosis, and Treatment of Infective Endocarditis of the European Society of Cardiology (ESC). Endorsed by the European Society of Clinical Microbiology and Infectious Diseases (ESCMID) and the International Society of Chemotherapy (ISC) for Infection and Cancer. Eur Heart J 30: 2369-2413.
- Lindner JR, Case RA, Dent JM, Abbott RD, Scheld WM, et al. (1996) Diagnostic value of echocardiography in suspected endocarditis. Circulation 93: 730.





Figure 1:
Figure 2:
A surgical intervention was not been planned as the patient has not shown any symptoms of heart failure; as well as the fact that a significant response has been observed following the antimicrobial treatment.
Discussion
Endocarditis generally develops on the damaged valves and the most commonly mitral valve is involved. The current incidence of IE varies from 1.7 to 6.2 per 100.000 people [3]. The mortality rate is between 12-29% despite sophisticated antimicrobial regiments. At native valves, viridans streptococcus and Staphylococcus aurous are responsible for 80% of IE. Involvement of multiple valves as in our case is very rare, but if occurs, mitral and aortic valves are commonly involved. Multivalvular involvement increases the risk of heart failure significantly, which result in a greater risk of mortality than single valve involvement [4-6].
Microbial localization on a damaged cardiac valve is the second stage of infective endocarditis. Afterwards, increasing number of microorganisms proceed to vegetation. Bacteremia, resulting from minor dental procedures including tooth brushing may even cause endocarditis [7]. Heart failure and embolic complications are the leading causes of death in patients with IE. Embolic events are the most important non-cardiac complications which have the greatest impact on long-term survival. The risk of overall stroke is rather high with an incidence of approximately 20-50% in IE cases [8]. Embolic complications generally occur at the initial stage of IE, mostly before admittance to the hospital. 50% of these occur in the 20 days period following the initial symptoms of IE, while 80% occur in the first month [5]. The risk of stroke decreases to 6-21% following initiation of antibiotic treatment [6]. Mitral valve endocarditis at mitral position poses a greater risk of peripheral embolism compared to aortic valve endocarditis.
If vegetation size exceeds 15 mm; the risk of embolic incidence increases significantly. Whether to apply surgical treatment in case of a massive vegetational presence is still controversial. Results of the studies investigating the relation between large vegetation (>10 mm) and embolic incidence are inconclusive. On the other hand, meta-analysis has revealed that if vegetation size exceeds 10 mm, the risk of embolism doubles. Apart from the size of the vegetation; its mobility, structure and growth rate are other important risk factors. IE with Staphylococcus, Candida species, HACEK and Abiotrophia has more propensity for embolism.
In patients with IE, the simultaneous involvement of two valves is extremely rare. We speculate that aortic valve involvement in the present case has been probably developed due to mechanical contact of the large mitral vegetation to aortic valve leaflets. Because the mitral vegetation was large and mobile, protruding to LV outflow tract during systole, this vegetation led to mechanical injury and microbial seeding on the aortic valve. This report also shows that, even in patients with extensive valvular involvement, IE may be treated with adequate antibiotics instead of surgery. Despite the presence of surgical indication and complications, in some specially chosen patients can get rid of the surgery with a proper and effective antibiotic treatment. In addition, because complications related to IE are more frequent in patients with multi-valvular involvement, clinicians should be more aggressive for antimicrobial treatment and even for surgical treatment.