Author(s):
Jianan Li, Shuzheng Lyu, Fei Yuan, Rui Tian and Xiantao Song*
Department of Cardiology, Beijing Anzhen Hospital, Capital Medical University, Beijing, China
Received: 28 November, 2016; Accepted: 14 December, 2016; Published: 15 December, 2016
Xiantao Song, MD, PhD, Department of Cardiology, Beijing Anzhen Hospital, Capital Medical University, Beijing, China; E-mail:
Li J, Lyu S, Yuan F, Tian R, Song X (2016) A Case of Balloon Rupture Cause Serious Complication during Percutaneous Coronary Intervention. J Cardiovasc Med Cardiol 3(1): 049-051. DOI: 10.17352/2455-2976.000034
© 2016 Li J, et al. This is an open-access article distributed under the terms of the Creative Commons Attribution License, which permits unrestricted use, distribution, and reproduction in any medium, provided the original author and source are credited.
Balloon rupture in the process of percutaneous coronary intervention (PCI) leading to coronary artery dissection, subintimal hematoma and hematoma extension after stent implantation is an uncommon complication, but it has important clinical significance. The reason for balloon rupture during PCI and hematoma extension after stent implantation is not clear. In this case, Balloon rupture may be due to excessive balloon dilation pressure, severe coronary artery calcification, balloon dilatation with gas presence and poor quality of the balloon; hematoma extension after stent implantation may be for remaining undiscovered hematoma and dissection. We should pay attention to these risk factors and prevent the occurrence of clinical complications in the treatment of PCI.
Introduction
Balloon rupture in the process of percutaneous coronary intervention (PCI) leading to coronary artery dissection, subintimal hematoma and hematoma extension after stent implantation is an uncommon complication [1]. Once the treatment is not timely, there may be very serious clinical consequences. Therefore, the complications caused by balloon rupture have important clinical significance. With the progress of interventional technology and the development of interventional instruments, the incidence of coronary artery dissection and internal hematoma caused by balloon rupture is reduced. Here, we report a rare case of coronary artery dissection and subintimal hematoma caused by balloon rupture during PCI and vascular occlusion due to hematoma extension after PCI.
Case Report
A 72-year-old woman with a significant medical history of hypertension, type 2 diabetes, renal insufficiency and permanent pacemaker implantation was admitted to the cardiology with the onset of chest tightness for 5 months and aggravating for 6 days. No significant abnormalities was found in physical examination. Echocardiography shows that left atrial enlargement, segmental ventricular wall motion abnormalities, and the ejection fraction (EF) was 55%. Electrocardiogram (ECG) examination showed ventricular block, typeatrioventricular block, pathological Q wave II,III, AVF, V1-V6 lead, QT interval prolongation. Coronary angiography showed that the distal right coronary artery (RCA) occluded, the stenosis of proximal left anterior descending artery (LAD) was 90% with heavy calcification the stenosis of proximal diagonal branch (D) was 40%-50%.
Patients were treated with PCI. Through 6F XB 3.5 guiding catheter, REGATTA guide wire was sent to the distal LAD, Runthrough guide wire was sent to the distal D, the mid LAD lesion was dilated with the B. Braun Melsungen 2.0mm×20mm balloon at 20atm. Balloon rupture occurred on the second dilatation at 20atm, leading to extravasation of contrast agent, coronary artery dissection and subintimal hematoma, dissection and hematoma extended to D, the distal left circumflex (LCX) and the proximal LAD. Cordis guide wire were immediately sent to the distal LCX, the Medtronic 2.25mm×18mm stent was deployed into the middle of LAD with the pressure of 16atm, Boston Scientific 2.25mm×32mm stent was deployed from OM3 to the mid LCX with the pressure of 14atm, entrance and exit of the dissection and hematoma were all blocked, and the dissection and hematoma was not visible. Then Cordis 2.5mm×10mm balloon was inflated to 26atm inside the LAD stent, Boston Scientific 2.25mm×12mm stent was released in the distal LAD at 10atm, the angiography showed that the stenosis was relieved, the blood flow was TIMI-3, there was no hematoma and dissection, and the patient was stable after operation.
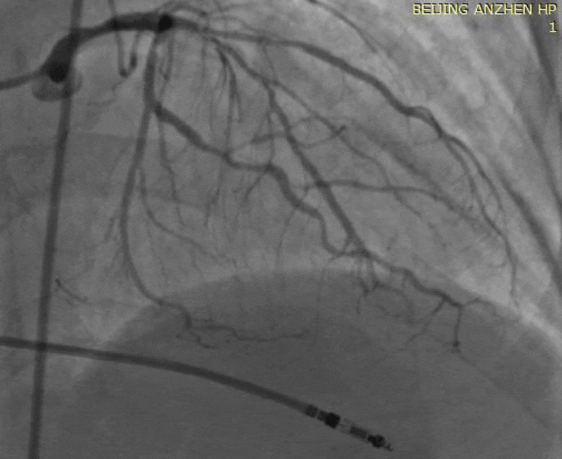
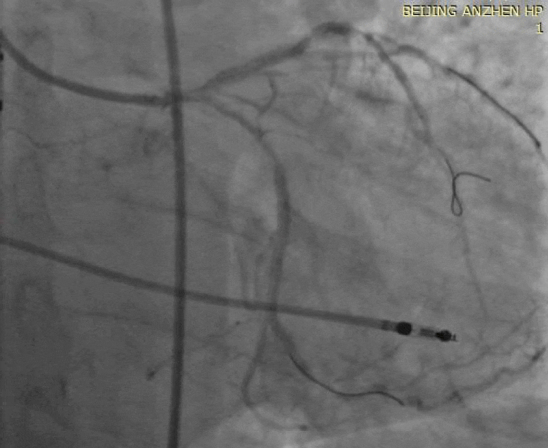
Five hours later, the patient suddenly developed chest pain accompanied by sweat and pale, with blood pressure of 150/70mmHg. The patient was given ECG monitoring, oxygen inhalation and intravenous access. Seventeen minutes later, the patient experienced loss of consciousness and ECG showed ventricular fibrillation. The patient recovered consciousness after defibrillation and simple ventilator assisted breathing, blood pressure was 80 / 50mmHg, then the patient was turned into the cath lab for emergency PCI. After the patient entered the cath lab, ventricular fibrillation occurred again. Defibrillation treatment was performed for the second time, the patient received PCI treatment under continuous chest compression. After puncturing the right femoral artery, the 6F JL4.0 guiding catheter was placed at the LCA opening, coronary angiography showed LCX occluded, LAD still had blood flow. Runthrough guide wire was sent to the distal LCX, another Runthrough guide wire was sent to the distal LAD, the Medtronic 2.5mm × 15mm balloon was carried retracement, coronary angiography showed the mild LCX hematoma extension made LCX occluded, Medtronic 2.5mm×15mm balloon was dilated at 8-10atm from the proximal LCX to the LCX stent, coronary angiography showed that the blood flow of LCX recovered. Then puncturing the left femoral artery, intra-aortic balloon pump (IABP) balloon was implanted into the descending aorta, heart rate restored to 40 times per minute. Then the operator sent PACEL temporary pacing catheter to the right ventricular apex, the patient received temporary pacing therapy with frequency of 80 times per minute. During the treatment, the patient was given intravenous injection of 1mg epinephrine and 1mg atropine, and was given intravenous drip of 5% sodium bicarbonate, blood pressure was remained at 80-100mmHg, about 20 minutes later the patient recovered spontaneous cardiac rhythm, blood pressure rose to 80-120/40-70mmHg. Coronary angiography showed the blood flow of LAD and LCX restored. Considering possible hematoma extension of the LCX, the Medtronic 2.25mm×18mm stent was placed into the proximal LCX with the inflation pressure of 10atm, the LEPU 2.75mm×18mm stent was placed into the proximal LAD with the inflation pressure of 14atm, the LEPU 3.5mm×15mm stent was placed from LM to LAD with the inflation pressure of 18atm, the angiography showed that all stents achieved good apposition to the wall, the blood flow was TIMI-3, there was no hematoma and dissection. The LCX opening was mild involved, considering the possibility of dissection may occur, so we did not perform kissing dilation. After operation the patient was transferred to the CCU ward for further treatment Figures 1-4.





Figure 1:
Figure 2:
Figure 3:
Figure 4:
Discussion
In the process of PCI, coronary artery dissection, subintimal hematoma caused by balloon rupture and hematoma extension after stent implantation are rare. Although in most cases, balloon rupture does not cause serious complications, potential complications include air embolism, balloon entrapment, coronary artery dissection and vessel perforation [2]. Balloon rupture caused by high pressure expansion will lead to contrast agent at a very fast speed jet to a local area of the coronary artery, increasing the possibility of coronary artery lesion [3], and contrast agent rapidly inject to the vascular intima can make already existing dissection extend to the aortic root [4].
The incidence of subintimal hematoma is 6.7% in the PCI process, the possible mechanism is that blood accumulate in the middle of the blood vessels due to the death of distal vascular and the coronary artery dissection extends to the media [5]; there are also reported in the literature that the possible mechanism of coronary artery subintimal hematoma is the rupture of nourishing blood vessels [6].
When a sudden pressure drop or the target pressure cannot be maintained, the balloon rupture can be suspected, special attention should be paid to discharge air in the balloon when the balloon is dilated at low pressure [4]. Rapid identification of sudden pressure drop or contrast agent extravasation, immediately removing the balloon pressure may help to limit the injury caused by balloon rupture [7]. The use of short balloon with high mean dilation pressure may reduce the incidence of balloon rupture and related complications after balloon rupture [8]. The rapid and proper placement of stent can block the dissection and prevent blood flow into the false lumen [9]. Both intravascular ultrasound (IVUS) and optical coherence tomography (OCT) have high spatial resolution, IVUS and OCT are of great significance for the discovery of coronary artery dissection and subintimal hematoma and for guiding the further treatment. IVUS is necessary for the diagnosis of coronary dissection and hematoma, we did not use IVUS because of our lack of pre-judgment. When subintimal hematoma occur, the use of rotablator is not appropriate. In future surgery, we should take a more reasonable strategy to prevent the occurrence of such problems.
Conclusion
In this case, the cause of the balloon rupture may have the following aspects: 1) the pressure of balloon dilation was too high; 2) the patient had severe coronary artery calcification; 3) undetected gas was in balloon when balloon dilation; 4) balloon had quality problem. We should pay attention to these risk factors and it is significant for patients to deal with coronary artery dissection and subintimal hematoma timely, reasonably and accurately.
Grant Sponsor
This work was supported by the Capital Clinical Characteristics Application Study (Z161100000516139).